By Siha Hoque
See above: Examples of nanoparticles and their shapes
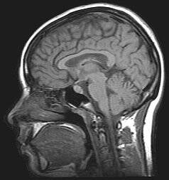
See above: cranial MRI scan
See above: Diagram of a liposome
Nanotechnology involves manipulating matter within the range of 1-100 nanometres - for scale, a single human hairs’ thickness divided by 50,000. The first person to introduce the idea of nanotechnology was the physicist Richard Feynman in 1959, and he described a method in which individual atoms could be manipulated, giving yield to a variety of new or enhanced properties from already existent materials.
In the modern world, nanotechnology exists in many fields of science and holds many practical applications, ranging from better sunscreens to more efficient batteries - and nanomedicine in particular is a rapidly advancing front. There are several types of ‘nanomaterial’, each classified by their shapes and number of dimensions:
- Nanorods/wires
- Tubes and fibres
- Particles, quantum dots and hollow spheres
A prominent use of nanotechnology in medicine is for enhanced medical imaging - allowing us to gain better insight into the human body and make diagnosis on illnesses in an increasingly non-invasive way. A general way in which medical imaging aims to develop is through improving the ‘contrast’ of images, in other words, the ability to differentiate between different tissues in the body, which are very densely packed and often similar looking. A ‘contrast agent’ is used to improve this aspect - and this is where nanotechnology is applied. An example of nanoparticles used as contrast agents is SPIONs - or superparamagnetic iron oxide nanoparticles - in MRI imaging.
A simplified way in which MRI works is by sending all of the protons in your body a strong magnetic pulse to align them, change their alignment with radio waves, before allowing them to return to their original positions - this stage causing them to release energy as they do so, unique to the type of tissue they are present in. This final stage is sometimes referred to as the ‘relaxation stage’, and SPIONs create a stronger magnetic field which causes alterations in the energies of protons belonging to water, shortening their relaxation stage - making some areas of the image produced darker; more detailed. Another benefit of using SPIONs is their ‘superparamagnetic’ property, which means they lose their magnetism after being removed from the external magnetic field of the MRI scanner - and this reduces the chances of artefacts in the image, which are essentially fake details produced by the imaging process. They are also very compatible with body cells, and can be coated with polymers to ensure they minimise damage and do not accumulate in the body whilst present inside. Overall, this improved imaging could thus help us spot cancers and lesions in earlier stages, and its less-harsh presence in the body means it could be utilised for a larger variety of cases.
Nanomedicine additionally shows promising results in cancer treatments. Gold nanoshells are being used at MD Anderson Cancer Centre in Texas for ‘photothermal cancer therapy’ - which is a non-invasive treatment for the disease, in which light energy near the infrared wavelength is focused upon a specific area to target cancer cells, and destroy them with the generated heat. Gold nanoparticles play a part in this by converting the light into heat energy, and what's particularly interesting is that once given the resource of this precious metal, the body can convert it to nanoparticles itself. Imaging Physics Professor Konstatin Sokolov and Dr Aron Schwartz-Duval explains that this is due to biomineralisation of gold in the cells - mineralisation being the formation of stones in the natural environment, biomineralisation is therefore the same thing, only in the body, a good example being bones. Research at the cancer centre demonstrates that gold particles in a soluble form can be converted by mammalian cells into gold nanoparticles - particularly by the more aggressive cancer cells, making gold nanoparticles an ideal material to use in photothermal cancer treatments.
One of the main drivers of cancer progression is what is known as the ‘pro-inflammatory environment’ surrounding tumours and tumour cells - a chronic state of irritation which encourages the tumour to metastasize and spread around the body. In terms of direct uses, one of the hypothesized applications of gold is to reduce that environment surrounding cancer - and the same dosage could also increase the production of nanoparticles at the site of the tumour, aiding later therapies.
As well as this, liposomes are a type of lipid nanoparticle, and they effectively serve as small capsules which could transport various drugs around the body. They are highly valued due to being able to carry different types of substance in different areas depending on their ability to dissolve - such as in their membranous layer, attached to them externally, or within their hollow centres. The way in which these can be made specific to cancer treatment is by carrying high concentrations of treatment drugs, such as the chemotherapy drug doxorubicin, directly to the tumour cells, and protecting them from loss of substance or damage to other body cells on their way there. There are two methods in which they target tumour cells: passively, by general tendencies to accumulate in the damaged tissue and leaky blood vessels of the tumour environment; or actively, in cases where they are engineered to have antigens that bind to tumour cells. Once they reach their target, liposomes often fuse to the cancer cells before releasing their contents inside.
Nanomedicine remains a developing process for now, however it shows great promise for the future of cancer diagnosis and treatments in its improved imaging and more efficient drug delivery, as well as high adaptability, making it a less unpleasant treatment compared to some existent ones.
Useful Source Links:
https://www.mdanderson.org/cancerwise/could-gold-nanoparticles-help-treat-cancer.h00-159540534.html
https://education.nationalgeographic.org/resource/nanotechnology/
https://www.sciencedirect.com/science/article/abs/pii/S0958166921002445
https://www.sciencedirect.com/science/article/pii/S0928098723003160
Add comment
Comments